- 当前位置: 首页 > 烟渍牙
- 如何快速消除烟渍牙?
- 来源:康贝佳口腔 发布时间:2018-04-24 14:34
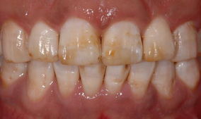
经常抽烟的人牙齿会逐渐变黄,并且会慢慢由黄色转为黄褐色甚至是黑色,这其实是烟渍牙的表现之一。那么,如何快速消除烟渍牙呢?针对这个问题,我们来听听康贝佳口腔医院医生怎么说。

如何快速消除烟渍牙?
根据南京康贝佳口腔医院医生的介绍,烟渍牙的形成是由于人的口腔环境呈酸性,长期与口腔内的食物残渣等碱性残留物发生化学反应后,就会生成一种附着在牙表面上的盐化合物即烟渍。日积月累,烟渍越堆积越多,沉积在牙齿表面或根部,就形成了烟渍牙。
烟渍牙是一种外源性着色牙,仅靠日常的刷牙很难清除干净,更需要通过一些专业性的手段来去除。可以选用冷光美白,冷光美白对于一些外源性着色牙如烟渍牙、咖啡牙、黄牙等都有着不错的效果。>>>如果您对烟渍牙还有什么疑问可以在线咨询>>>
冷光牙齿美白是将高强度冷光定点照射,可以去除牙齿表面的色素沉积,及深层所附着的色素,让您拥有一口润白亮泽的牙齿。具有持久、自然、快速、专业、舒适等五大优势。>>>冷光美白需要多少钱>>>
【温馨提示】:如何快速消除烟渍牙?以上就是关于这个问题的回答,希望对你有所帮助。
- 上一篇:没有了
- 下一篇:烟渍牙怎么变白?



























