- 当前位置: 首页 > 氟斑牙
- 氟斑牙的形成与水有关系吗?
- 来源:康贝佳口腔 发布时间:2017-11-10 13:35
氟斑牙是一种什么样的牙齿疾病?它是怎么形成的?很多人不是很了解它的形成原因,那么氟斑牙与饮用水有关吗?下面看一下康贝佳口腔医师的介绍。>>>氟斑牙可以治疗吗?>>>

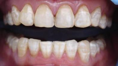
什么是氟斑牙?
氟斑牙又叫做黄斑牙或氟釉牙,属于地方性病,主要就是因为当地的饮用水氟量过高而引起的。一般来说,饮用水里的含氟量保持在0.5-1ppm之内不会发生中毒并且还可以起到预防龋齿的作用,如果超过这个量就会形成氟斑牙,甚至会给生命带来威胁。
氟斑牙的形成与水有关系吗?氟斑牙与水有关系是肯定的。
氟对牙釉质的形成有抑制作用,会引起牙釉质发育不全或钙化不良,长期饮用含氟量过多的水,会导致慢性氟中毒。氟斑牙一般发生在六七岁换牙期,恒牙正处于发育矿化期,在这期间,饮用含氟量过高的水就会导致氟斑牙。>>>用什么方法治疗氟斑牙比较好?>>>
对于氟斑牙预防很重要,但如果氟斑牙已经形成后,针对氟斑牙的治疗:如果氟斑牙为轻中度,可以进行冷光美白,效果又快又好,且不改变牙齿的形态,仍是自己的自然牙;如果是中度以上,可以选择贴面修复或烤瓷牙修复,但要改变原牙的外观形态,可以选择色泽逼真的烤瓷牙种类。
温馨提示:不同严重程度的氟斑牙应该有不同的专业诊治方式,而严重的程度也有专业的测量方式,若您不能很好断定自己氟斑牙的严重程度,不知该如何选择何种专业诊治方式,您不妨花几分钟点击在线咨询,或者直接拨打400-0250-0505,康贝佳口腔医师将耐心给出专业的意见并提供优质的咨询服务。



























