- 当前位置: 首页 > 氟斑牙
- 氟斑牙怎么治疗效果比较好?
- 来源:康贝佳口腔 发布时间:2017-11-10 13:31
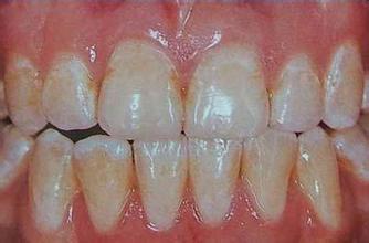
氟斑牙是一种比较严重的牙齿着色问题,不仅严重影响个人形象,对社交和工作也会造成一定的影响。那么,氟斑牙怎么治疗效果比较好呢?针对这个问题,我们来听听康贝佳口腔医师怎么说。

氟斑牙怎么治疗效果比较好?
根据南京康贝佳口腔医师介绍,治疗氟斑牙,改变牙齿变色问题,使牙齿重新恢复洁白靓丽,主要有以下几种方法:
1、冷光美白。对于轻度氟斑牙,采用冷光美白治疗能很好地改变牙齿着色问题。冷光美白在治疗的过程中会对牙龈进行保护,因此不会对牙龈有任何伤害,大家可以放心使用。>>>冷光美白要多长时间?在线咨询>>>
2、牙齿贴面。这种方法是将一种近似于正常牙色的贴片通过医学特殊的黏剂粘贴在变色牙上,起到遮盖变色牙的作用,从而达到美白牙齿的目的。修复后的牙齿美白逼真,贴面不易脱落,是一种较为理想的修复方法。
3、烤瓷牙。如果氟斑牙的程度比较严重,那么选择采用烤瓷牙进行修复比较好。采用这种方法修复后的牙齿无论是形态还是色泽都与真牙相近,美观逼真,且效果持久。>>>了解技术详细,直接在线咨询>>>
【温馨提示】:氟斑牙怎么治疗效果比较好?以上就是介绍,希望对你有所帮助。治疗氟斑牙建议是到正规专业的口腔医院,医生在详细的检查过你的牙齿之后,再制定一种适合的治疗方案,这样才能达到理想的修复效果。
- 上一篇:小孩子出现氟斑牙怎么办?
- 下一篇:氟斑牙做瓷贴面效果怎么样?



























