- 当前位置: 首页 > 补牙
- 补牙你需要知道的那些事儿
- 来源:康贝佳口腔 发布时间:2016-12-21 14:03
俗话说“小洞不补,大洞吃苦”,告诉我们小的漏洞应该及时补救,否则千里之堤毁于蚁穴,其实牙齿也同样的道理,有了龋齿应尽可能的及早修补,因为越早补牙越早阻止龋病病变的发展,及早恢复牙齿的功能,保持牙列的完整!那么什么是龋齿?什么情况需要补牙呢?补牙又需要注意什么呢?康贝佳口腔医师为您详细解答。

什么是龋齿?
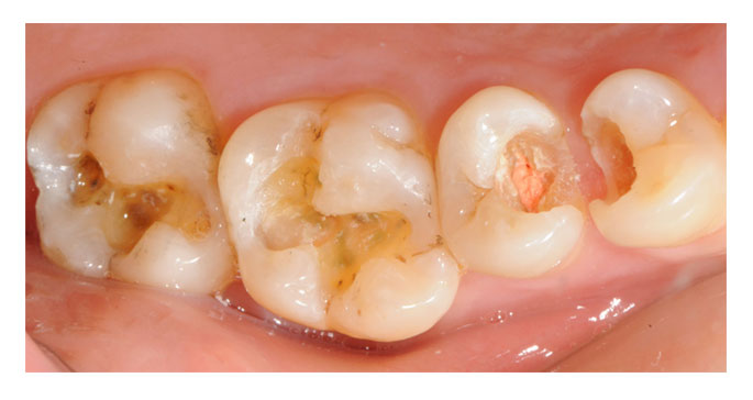
首先让我们来认识下龋齿,龋齿也就是我们常说的蛀牙俗称虫牙,开始表现为牙齿上有个黑色的小点,如果不及时治疗,就慢慢的发展成一个黑洞。虫牙并不是真的被虫子咬形成的,而是由于口腔清洁不治疗,慢慢的形成牙菌斑长期作用所引起的牙齿腐蚀。小小蛀牙,危害却不可忽视。它可以形成牙根尖周炎(>>怎么办咨询),严重时甚至可以导致牙齿缺失。>>如果蛀牙不及时治疗会掉牙吗?在线详询
补牙能终止龋齿的发展
龋齿的小洞若不进行及时治疗,病变就会越来越大,从浅龋发展到深龋,对冷热酸甜等食物刺激敏感;当损伤到达牙髓,引起牙髓炎,此时牙痛会十分严重;当病变再进一步发展,会引起根尖炎、根尖周脓肿,甚至颌骨骨髓炎、牙齿脱落缺失。牙齿的龋坏甚至缺失,会影响咀嚼,加重胃肠负担,进而影响身体健康。而且,龋齿(儿童龋齿需要治疗吗?问问医生吧)内有大量的细菌及脓液,为一潜在的病灶,当机体抵抗力下降时,它可以引起败血症或菌血症。而补牙能够终止这些病的发生和发展,所以患了龋病应当及早补牙。

补牙的材料有哪些?如何选择呢?
补牙的材料更早常用的是银汞。经过多年的研究发展,在上世纪70年代,玻璃离子开始广泛的应用于临床,再到后面的复合树脂、纳米树脂。目前应用更为广泛的当属纳米树脂,因为其颜色多样,补牙后的效果更加接近自己的牙齿,受到牙医和患者的欢迎。
那么补牙材料如何选择呢?通常医生不推选银汞,一来觉得银汞对身体不好,二来觉得影响美观,那么该如何选择适合的补牙材料,一起来看看康贝佳口腔医生怎么说吧!
从牙齿保健方面考虑,玻璃离子是不错的选择。玻璃离子含氟,补牙后能够缓慢的释放出氟,以便坚固牙齿,预防蛀牙。但玻璃离子的耐磨性较差,不适合咬合力量大的后牙修补。>>康贝佳口腔玻璃离子补牙价格多少,在线查询
从磨牙多少方面考虑,复合树脂是合适的选择。复合树脂的颜色比较逼真,重要的是它不需要磨损多余的牙体组织,有比较好的填充效果,只是坚固性不及银汞合金。>>康贝佳口腔复合树脂补牙价格多少,在线查询
如果您既想让牙齿拥有自然的美观,使用时间长,抗挠性好,3M纳米树脂也就是(瓷嵌体)是目前至好的选择无疑。还是上面说过的,一分钱一分货。当然还有一种说法,适合的才是至好的。>>康贝佳口腔3M纳米树脂补牙价格多少,在线查询
补牙手术过程详解
1、窝洞制备:也就是祛腐。补牙前,先得把您的牙齿里面黑黑的东西去掉。这个是非常重要的一个环节。祛腐是否干净,制备时的工具精细度都决定了您补牙后的效果。如果祛腐不干净,容易引发继发龋;如果制备工具不够精细,容易导致好的牙齿组织也损伤,使洞越来越大。制备的形状不好,会导致补牙后固位不好,补牙的材料容易掉。康贝佳口腔医生温馨提示您,补牙手术选择正规医院进行治疗!
2、消毒:窝洞制备好后,然后开始消毒杀死窝洞表面的细菌。
3、充填:充填就是将补牙的材料填入蛀牙的窝洞内。这个环节看似简单,其实是见证您的口腔医生技术的时刻。充填的好坏,直接导致您补牙后牙齿的形态、咬合是否自然、正常。

康贝佳口腔医生温馨提示您:牙齿的保健护理要从日常生活中的小习惯开始喔
日常生活中要注意口腔卫生,早晚刷牙,让口腔环境达到酸碱平衡,这样出现蛀牙烂牙的情况就会大大减少。同时,应该定期拜访牙医,进行口腔检查和洁牙,及时去除牙菌斑和牙结石,减少牙菌斑和结石对牙齿的伤害。
- 上一篇:“补牙”那些事儿
- 下一篇:蛀牙不可轻视,越早修补越好



























