• 康贝佳首页
  • 欢迎来到康贝佳官方网站,专注口腔健康,笑出精彩人生!咨询热线:400-025-0505
  • 关于我们:

当前位置: 首页 > 牙齿治疗

牙齿治疗

Dental implants

咨询电话:
400-025-0505

QQ咨询 在线咨询
高淳补牙多少钱一颗
来源:康贝佳口腔 发布时间:2019-01-04 14:04
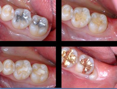
  由于我们的牙齿受到一定的蛀牙伤害,这样的话我们的牙齿就会有一定的龋洞,需要通过补牙来进行修 补,补牙的话要按照龋洞的大小来进行确定和通过您牙齿的情况来进行补牙的材料。大家比较在乎的当 然还是补牙的价格,那么高淳补牙多少钱一颗。
 
  根据牙齿损坏的程度和补牙材料的不同,补牙价格的差异也比较大。牙齿损坏的程度一般按牙洞的大小 来定义,一般医生会根据牙洞的大小来定补牙价格,所以如果你发现自己有了牙洞,一定要尽早治疗, 否则牙洞发展的越来越大,补牙价格也越来越贵。如果牙齿坏到了一定程度,就不是单纯的补牙就可以 了,需要根管治疗,那么补牙价格就要贵了。
 
  在高淳补牙多少钱一颗,每个地区的医疗水平是不同的,其中包括了诊疗设备、技术、材质等的高低都 会导致费用出现差异,并且就算是同一个地点的机构也可能会有机构等级方面的差异,也会有不同的价 格。
 
  南京康贝佳口腔医院专家介绍:目前市面上比较常用的补牙材料有以下几种:
 
  烤瓷牙:
 
  可以根据经济情况选择。建议不要选择便宜的烤瓷牙冠,因为这些牙冠相对质量较差。另外烤瓷牙不能 咬过硬的食物,容易崩坏。如果烤瓷牙修复不当,会刺激牙龈形成红肿,刷牙时刺痛易出血,这时候就 要及时到医院进行不良修复体的更换。
 
  树脂等材料补牙:
 
  对于龋洞等牙齿缺损的情况,通过这种补牙方式效果既美观、又方便、价格还便宜,但是对于一些缺损 的比较大,或者像门牙折 断的情况,即使补上去也容易掉,所以可以选择烤瓷修复。
 
  镶烤瓷牙:
 
  烤瓷牙是修复牙齿最普遍的技术之一。牙齿本身畸形、过小、四环素牙 、折断等情况,都能够通过这种 方式修补 成几乎与真牙一样的外观。
 
  种植牙:
 
  种植牙是所有镶牙技术中最昂贵的,但是它的使用寿命最长、最牢固。同样是补牙,种植牙能用二十年 以上,而像最好的烤瓷牙顶多能用五年,而且种植牙能吃其他假牙不敢吃的坚硬食物,比如甘蔗、花生 等。
 
  补牙材料很容易引起口腔排异反应,引起牙齿疼痛、敏感,所以不要接受不正规的治疗方法。