- 当前位置: 首页 > 牙齿矫正
- 矫牙如何选择?黑科技帮你一美到底!
- 来源:康贝佳口腔 发布时间:2019-04-10 10:58
“世界上,没有丑女人,只有懒女人。”长得丑?!没关系,各式化妆品、各种美颜相机齐上阵。真的靠着这些,也可以变得漂亮。但是,解决了脸上的缺陷,牙齿的缺陷掩盖不了。

这可怎么办?你还想再听到别人说“你哪都行,就是你的牙齿…”“你不要笑,牙齿有点...”“别笑别笑,亮瞎我的眼。”醒醒吧,朋友。既然化妆解决不了,那可怎么办呢?看来只能从根部解决了
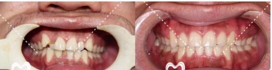
不用整形,只要通过一个“套”就可以还你一口整齐的牙?!

虽然心动于牙齿矫正的效果,但生活中很多想做牙齿矫正的朋友。又因担心美观问题带来一些意外的烦恼(如“小钢牙”这类的外号),想要有效又不那么显眼的牙套。因此,随着科技的发展,它就诞生了。
隐形牙套
很多怕带着“小钢牙”,新增外号影响心情的人,都果断选择既美观又高效的它。

经过了个性化定制的无托槽隐形牙套,可以自行摘下来,不仅可以正常刷牙,就算想进行洗牙式的深入交流也不用担心。
五分钟还能预见自己未来的颜值,你相信吗?
这个神奇的仪器就是隐适美“黑科技”, iTero数字化口腔扫描仪,1分钟扫描,3分钟成模型,5分钟预知矫正效果。

只需躺在牙医上几分钟,就能得到牙齿的3D矫正方案,并且马上预见矫正效果!整个过程轻松、快速、舒适。
- 上一篇:隐形矫正:悄悄变美,从“齿”告别“铁齿钢牙”
- 下一篇:南京做隐形牙套多少钱?


























