- 当前位置: 首页 > 牙齿矫正
- 南京地包天如何矫正
- 来源:康贝佳口腔 发布时间:2018-06-05 10:20
地包天是一种严重的牙齿畸形,会妨碍口腔、面部和颌骨的正常生长发育,影响了患者的社交和生活。那么南京地包天该如何矫正呢?
【地包天的介绍】
康贝佳医生表示:正常情况下,在上下牙互相咬合时,应当是上前牙咬在下前牙的外面,若相反的话则是下前牙咬在上前牙的外面,这种就是地包天,也称为前牙反颌,临床上比较常见,常发生在乳牙期、混合牙列期以及恒牙期。

【地包天的形成】
1、遗传因素:错颌畸形是一种遗传疾病,遗传性质较为明显且下颌骨及颜面畸形相当显著
2、全身性疾病:缺少维生素D造成钙、磷代谢障碍以及面颌肌肉异常,下颌骨发育畸形
3、不良口腔习惯:从小养成吮指、咬唇等不良习惯,造成上前牙凹下前牙凸
4、替牙期障碍:乳牙滞留、早失以及磨耗不足造成上恒前牙后移,下颌前移
【地包天的矫正】
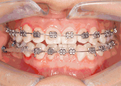
一、普通正畸:
传统正畸通过用粘结剂将矫正装置粘固于牙齿上,逐渐加力使牙齿移动,达到牙齿的理想位置。每月需复诊一次,不可自行摘戴。
二、无托槽隐形矫正:
从外部无法看到矫治器,安装于牙齿的舌侧面进行正畸治疗,可自行摘戴,复诊次数少,美观舒适,不影响正常社交和生活。
三、美容冠矫正:
美容冠矫正时间短,1小时就能让您摆脱地包天的困扰,拥有一口整齐靓白的牙齿。
德国3D牙齿美容冠
康贝佳3D美容冠采用"德国3D齿雕",一个小时可完成制备、制作、戴牙,做到立等可戴。3D美容冠无金属内冠,对牙龈无刺激,其光学性质、生物相容性绝佳,无牙龈黑线现象,接近天然牙。不仅能恢复牙齿功能,又有美容功效,边缘密合性高。
【温馨提醒】 以上就是南京康贝佳口腔医院对南京地包天的矫正的介绍。您有任何地包天的疑问,欢迎随时点击我们的在线咨询或拨打24小时康复热线,我们将为您提供详细的解答!
- 上一篇:南京门牙有缝怎么办
- 下一篇:南京孩子矫正牙齿的年龄


























