• 康贝佳首页
  • 欢迎来到康贝佳官方网站,专注口腔健康,笑出精彩人生!咨询热线:400-025-0505
  • 关于我们:

当前位置: 首页 > 美容修复

美容修复

Dental implants

咨询电话:
400-025-0505

QQ咨询 在线咨询
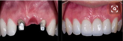
高淳种颗牙齿多少钱?
来源:康贝佳口腔 发布时间:2018-12-26 14:14
  近年来,随着牙齿美容修复的不断盛行,种植牙开始走入人们的视野,以前人们想都不敢想的事情 ,在21世纪成为了可能。不过,种植牙,因其价格高昂,让人们一直都有一种“望其项背”的感觉,那 么,到底种一颗牙多少钱?
 
种植牙
 
  南京康贝佳口腔专家指出:选择的种植系统、种植材料、医院、专家的不同,价格高低也就不同。
 
  一、种植牙齿数量
 
  每个患者的牙齿缺失情况都不相同,相对的,做种植牙的牙齿数量也就不同,价格也就不同。
 
  二、种植体品牌
 
  目前国内自有的种植系统以及国外引进的种植系统有很多,种植体品牌也各不相同,效果也尽不相 同,当然价格也就有所差异。
 
  三、种植材料
 
  种植牙的材料有很多种,并不是最贵的就是最好的最适合的,具体要根据自身的情况,经济能力及 医生的建议来选择。比如前牙缺失,就对种植牙的美观要求很高。
 
  四、所选医院及专家
 
  种植牙手术对医生的技术要求非常高,对医院的设备要求也很严格。为保证手术的安全与效果,建 议选择专业的口腔专家,医疗水平和经验的高低及服务质量的不等平也是影响种植牙价格的原因。
 
  种植后的效果好不好,种植系统的选择是关键!
 
  奥齿泰种植系统种植牙只是一种牙科临床上的小手术罢了,根据许多种过牙和拔过牙的人的经验, 其实种牙就和拔牙的感觉差不多,只不过拔牙是少了牙齿,而植牙则是弥补少掉的牙齿。这是一种来自 韩国品牌的种植体,因为其高性价比而受到欢迎,国内普及率高。
 
  韩国奥齿泰种植牙优点:
 
  1.它的咀嚼功能大大优于其他假牙;
 
  2.具有很强固位和稳定性,可像真牙一样扎根在患者的口腔里;
 
  3.可少磨或不磨自己的真牙;
 
  4.不需要活动牙必备的基托和卡环,没有大面积[1]基托导致的味觉迟钝与不舒适感;
 
  5.体积小不外露金属、美观,更有利于保持口腔清洁卫生。
 
  温馨提示:如果您还有疑问和不解,欢迎在线咨询,真诚为您服务!